Studiuesit e Universitetit Rutgers kanë zbuluar një proteinë nga krimbat parazitarë të zorrëve që përshpejton shërimin e plagëve te minjtë.
Kjo proteinë, kur aplikohet në plagët e lëkurës, jo vetëm që shpejton shërimin, por gjithashtu përmirëson rigjenerimin e lëkurës dhe zvogëlon shenjat.
Kërkimi novator për shërimin e plagëve
Shkencëtarët në Universitetin Rutgers në New Jersey kanë zbuluar se një proteinë e prodhuar nga krimbat parazitarë në zorrë përmirëson shërimin e plagëve te minjtë. Studimi, që do të publikohet me 23 gusht në revistën Life Science Alliance (LSA), zbulon se aplikimi i proteinës në plagët e lëkurës përshpejton mbylljen e plagëve, përmirëson rigjenerimin e lëkurës dhe pengon formimin e indeve të mbresë. Mbetet për t’u parë nëse proteina mund të përdoret për të përmirësuar shërimin e plagëve te pacientët njerëzorë.

Plagët e lëkurës duhet të mbyllen me shpejtësi në mënyrë që të parandalohet infeksioni, por mbyllja e shpejtë e plagës mund të favorizojë zhvillimin e vragave në vend të lëkurës së rigjeneruar siç duhet. Bilanci mes vragave dhe rigjenerimit të suksesshëm të indeve ndikohet fuqimisht nga qelizat imune të rekrutuara në vendin e plagës dhe shumë studiues janë të interesuar të gjejnë mënyra për të rritur aktivitetin e llojeve të qelizave imune që nxisin rigjenerimin ndërsa pengojnë aktivitetin e qelizave imune që nxisin krijimin e vragave.
Roli i proteinave të krimbave parazitarë në mjekësinë rigjeneruese
Studimet e fundit kanë sugjeruar që molekulat e sekretuara nga krimbat parazitarë mund të modulojnë sistemin imunitar të bujtësit në mënyra që nxisin rigjenerimin e indeve. Në studimin e ri të LSA, një ekip i udhëhequr nga William C. Gause, drejtor i Qendrës për Imunitetin dhe Inflamacionin në Rutgers, hetoi një proteinë të quajtur TGM që prodhohet nga heligmosomoides polygyrus, një krimb parazitar i rrumbullakët që jeton në zorrët e minjve dhe të brejtësve të tjerë.
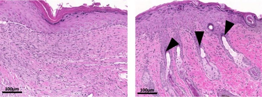
Gause dhe kolegët zbuluan se aplikimet e përditshme aktuale të TGM përshpejtuan mbylljen e plagëve të lëkurës tek minjtë. Për më tepër, trajtimi TGM zvogëloi formimin e vragës duke rritur rigjenerimin e lëkurës. Për shembull, ndryshe nga kafshët e patrajtuara, minjtë e trajtuar me TGM ishin në gjendje të formonin folikulat e rinj të qimeve brenda zonës së plagosur të lëkurës.
Mekanizmi dhe potenciali i TGM-së në terapinë e plagëve
Studiuesit përcaktuan se TGM funksionon duke u lidhur me një proteinë sinjalizuese, të quajtur receptori TGF-b, që gjendet në sipërfaqen e shumë llojeve të qelizave te minjtë dhe njerëzit, duke përfshirë qelizat imune. Trajtimi TGM duket se stimulon rekrutimin e qelizave imune të njohura si makrofagë në plagë dhe i riprogramon ato për të nxitur rigjenerimin e indeve.
“Në këtë studim, ne kemi zhvilluar një terapi të re për trajtimin e plagëve të lëkurës që favorizon shërimin rigjenerues të plagëve mbi fibrozën e indeve dhe vragave,” thotë Gause. “Ai siguron një kornizë të rëndësishme për përdorimin e mundshëm të një proteine paraziti të lehtë për t’u prodhuar si një terapi për të promovuar shërimin e plagëve të lëkurës.”/SciTechDaily – Syri.net
